Um homem de 52 anos na Flórida, Estados Unidos, ia quase todas as semanas ao médico devido às fortes enxaquecas que já não o deixavam viver normalmente. Após vários exames, os especialistas conseguiram identificar a causa de suas dores, o que foi publicado na revista American Journal of Case Reports.
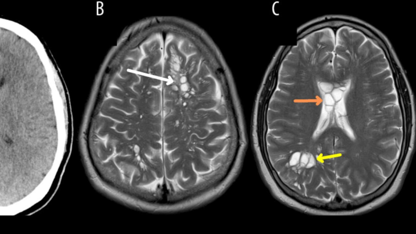
De acordo com o relatório da CNN, o médico fez uma tomografia que revelou múltiplos cistos em todo o cérebro. Diante da suspeita inicial de que poderia estar sofrendo de uma doença neurológica rara chamada cistos neurogliais congênitos, os médicos o internaram em um hospital de Orlando para consultar com neurocirurgia.
E bem, os exames realizados revelaram que os cistos eram larvas que se instalaram no cérebro e causaram uma infecção chamada neurocisticercose.
O que é a neurocisticercose?
Os especialistas acreditam que a infecção por tênia se originou devido ao hábito de consumir bacon cru. Isso ocorre porque a neurocisticercose é uma infecção parasitária nos tecidos que ocorre quando uma pessoa ingere ovos de tênia provenientes das fezes de uma pessoa com tênia intestinal.
O relatório destacou que "só se pode especular, mas dada a preferência do nosso paciente por carne de porco mal cozida e seu histórico de exposição benigna, acreditamos que sua cisticercose foi transmitida por autoinfecção após uma lavagem de mãos inadequada, depois de ele mesmo ter contraído a teníase por seus hábitos alimentares".
E claro, o homem reconheceu que tinha o hábito de comer “bacon mal passado e não crocante durante a maior parte de sua vida”.
E o paciente? Bem, o mesmo documento especifica que ele foi tratado com esteroides e agentes antiparasitários. Suas dores de cabeça melhoraram e os cistos cerebrais diminuíram.

