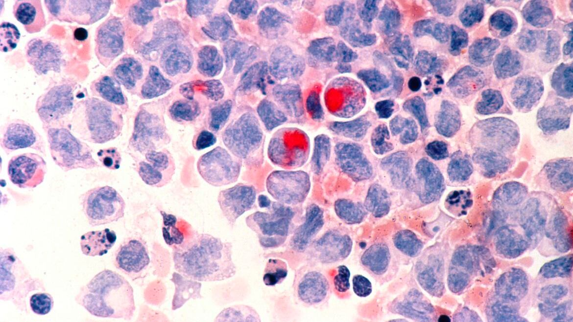
A Agência Nacional de Vigilância Sanitária (Anvisa) aprovou pela primeira vez um produto utilizado em um tipo específico de terapia para modalidades de câncer originadas no sangue (hematológicos), como leucemia, linfoma e mieloma.
O produto é indicado para pessoas com até 25 anos de idade com determinados tipos de Leucemia Linfoblástica Aguda, bem como para pacientes adultos com tipos específicos de Linfoma.
Na avaliação da Anvisa, essa é uma forma de terapia pioneira. A equipe técnica da Agência avaliou que o produto cumpre os requisitos mínimos de segurança e eficácia.
O produto Kymriah, da empresa Novartis, poderá ser aplicado em terapias que empregam as chamadas células CAR-T para o tratamento destes tipos de tumor. Segundo a agência, esse tipo de tratamento atua por meio da coleta e alteração das células imunes dos pacientes.
Neste método as células do paciente são coletadas para serem alteradas com a inclusão de um novo gene. Este gene contém uma proteína que direciona as chamadas células T para atuar contra as células tumorais. Após a modificação, as células são incorporadas no produto que será aplicado no paciente.
PROIBIÇÃO DE AGROTÓXICO
Um pedido de vista conjunto interrompeu nesta quarta-feira (23) a votação, pela diretoria-colegiada da Agência Nacional de Vigilância Sanitária (Anvisa), de um relatório em que técnicos da própria agência recomendam a proibição da venda e do uso de agrotóxicos à base de carbendazim, um dos fungicidas mais usados por agricultores brasileiros no combate a fungos que atacam plantações de feijão, arroz, soja e de outros importantes produtos agrícolas.
Segundo o relatório, o carbendazim “possui aspectos toxicológicos proibitivos de registro, não sendo possível estabelecer um limiar de dose segura para a exposição” humana. Entre os aspectos listados pelos técnicos da Anvisa está o potencial do agrotóxico de provocar câncer, prejudicar a capacidade reprodutiva humana e afetar o desenvolvimento.

